Clinical and research challenges

Multiple tests, no gold standard

Scintigraphy for emptying, barostat for accommodation, manometry for motility - each invasive or limited.

Time and practicality

Traditional methods are slow, uncomfortable, or not widely available.

Integration

Clinicians often have to piece together results; research lacks combined datasets linking emptying, accommodation, and motility.

Clinical relevance

Interpreting results in functional disorders (gastroparesis, dyspepsia, functional dysmotility) remains complex.

Gastric emptying

MRI has been extensively validated against scintigraphy, with exceptionally high agreement (R = 0.95, Khalaf et al. 2020).

Strengths:

  • High accuracy
  • Repeatable
  • Non-ionising

Limitations:

Scan duration depends on meal type; clinical utility for transit time alone may be limited.

Gastric volumes immediately after a meal vs. 60 minutes later, demonstrating near-total clearance (purple = gastric content; green = total gastric volume).

Gastric accommodation

The landmark study by de Zwart (2002) compared MRI and barostat in healthy volunteers under pharmacological stress (glucagon and erythromycin).

Key finding

MRI is as accurate as barostat in detecting changes in gastric volume, while also capturing gastric contractions.

Practical note:

A short (< 30min) MRI scan before and after a meal challenge can provide robust accomodation data.</p>

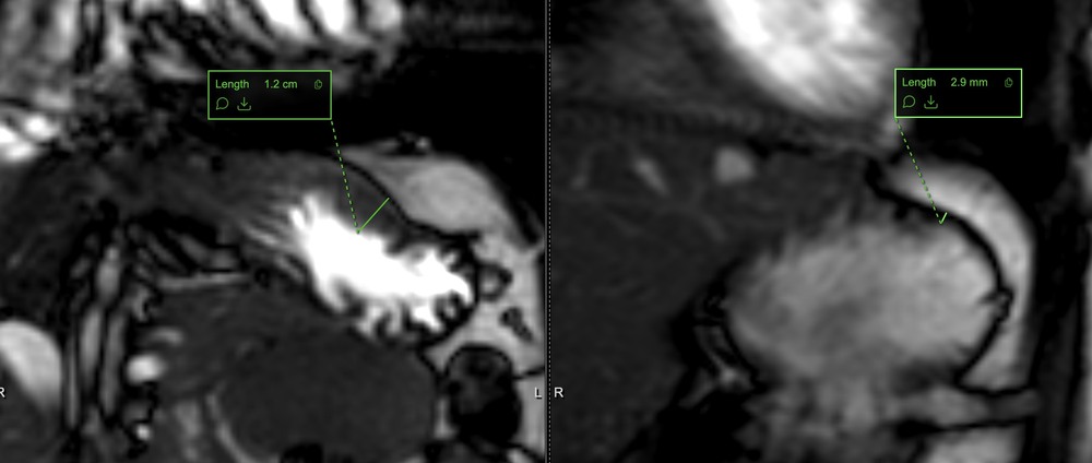
Fundus wall thickness and total gastric wall volume pre- and post-meal as a proxy of accommodation.
Gastric wall before (left) and after (right) a water challenge.

Gastric motility

Several groups (Fox et al., Bicchura et al., Mayo Clinic) have developed MRI methods for gastric motility. The most relevant study (Heissam et al. 2020, University of Nottingham) compared MRI to simultaneous manometry.

Finding:

High correlation (R = 0.8) using water stimulus.

Summary:

MRI excels at quantifying bowel wall motion, but the role of motility in health and disease remains under investigation.

Gastric motility can be quantified using:

  • Spatio-temporal maps ("manometry for MRI")
  • Heatmaps (GIQuant) - with the added ability to measure small bowel motility simultaneously.

In summary

  • MRI is a validated, non-invasive tool for assessing gastric emptying, accommodation, and motility.
  • It provides unique insights not available from scintigraphy, barostat, or manometry alone.
  • With structured reporting, MRI becomes a practical option for modern neurogastroenterology clinics.